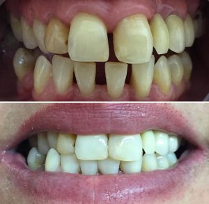
El cierre de diastema es un tratamiento estético que corrige los espacios entre los dientes, principalmente los frontales, para lograr una sonrisa más uniforme.
Carillas de porcelana o composite
Son láminas delgadas que se adhieren a la superficie frontal de los dientes. No requieren anestesia ni reducción del diente.
En algunos casos, se puede necesitar combinar tratamientos para lograr los mejores resultados. La duración del tratamiento de ortodoncia depende de la complejidad del caso de cada paciente.


