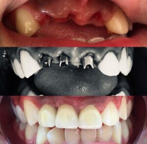
La cirugía implantológica avanzada es un conjunto de técnicas que se utilizan para colocar implantes dentales en pacientes que presentan pérdida ósea o ausencia de hueso en los maxilares. Es un tratamiento que se considera la mejor opción para la rehabilitación dental y que se utiliza en la cirugía oral y maxilofacial.

