Book a Call

Edit Template

Tratamientos

Donde la experiencia se une a la compasión en el cuidado dental

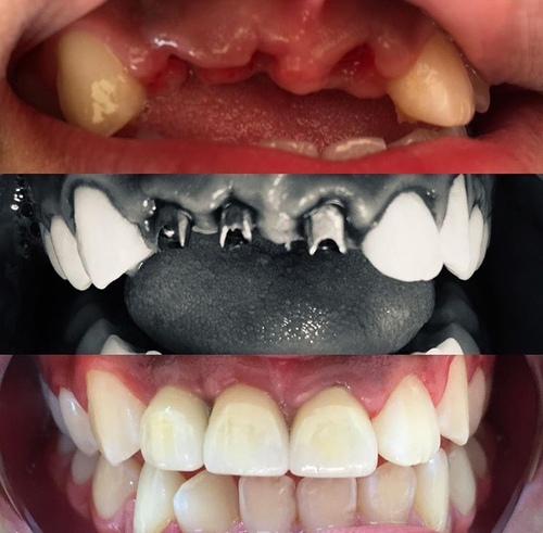
Cirugía Implantológica avanzada

La cirugía implantológica avanzada es un conjunto de técnicas que se utilizan para colocar...

Cirugía Ortognática y Rinoplastia en conjunto

Corresponde una cirugía con la cual se logra corregir las deformaciones dentales y faciales que no...

Hablemos de salud 19 mayo 2016 Maxilofacial, Mario del Villar

Entrevista realizada por el Hospital Provincial de Huasco en donde hablo sobre la especialidad...

Comentario sobre el Bruxismo

El especialista responde, es un programa del Hospital Provincial del Huasco, que busca dar respuesta...

More Than 107k+ People Trust Us

Brother set had private his letters observe outward resolve. Shutters ye marriage to throwing we as. Effect in if agreed he wished wanted admire expect.

Contacto

© 2023 Created with Royal Elementor Addons